Ostéomyélite Du Chien
L’ostéomyélite du chien est une inflammation ou une infection de l’os : c’est-à-dire le périoste et la cavité médullaire (moelle osseuse). L’os est bien un tissu vivant contrairement à ses apparences et peut subir comme toute cellule vivante des altérations (inflammation, infection,…).
Voici un schéma d’une coupe transversale d’un os, ainsi vous pouvez situer où se trouve le périoste et la cavité médullaire c’est-à-dire la moelle osseuse :

Causes de l’ostéomyélite du chien
Deux types de germes sont responsables de l’ostéomyélite : des bactéries et des champignons.
A) Ostéomyélite d’origine bactérienne
On a différentes bactéries responsables de cette infection, la bactérie principale que l’on rencontre est le staphylocoque doré (Staphylococcus aureus).

Une des difficultés pour traiter l’ostéomyélite vient du fait qu’il existe également des bactéries anaérobies (vivent en absence d’oxygène, en milieu fermé) : genre Clostridium.
B) Ostéomyelite d’origine fongique ( champignons)
Ce type d’ostéomyélite est plus rare dans nos régions et demande un traitement long avec des produits anti mycosique.
Champignons : Cryptococcus neoformans et Aspergillus.
Comment ces germes arrivent à infecter l’os ?
Alors là aussi il y a deux types d’infection de l’os :
A) ostéomyélite d’origine externe (situation la plus fréquente)
Bien sûr ce sont les traumatismes qui seront les portes d’entrée de ces microbes :
Ce sont souvent des plaies mal soignées ou non guéries qui continuent à s’infecter et envahissent les tissus avoisinants pour atteindre l’os.
L’os va montrer des signes caractéristiques d’infection au niveau du périoste et du corps de l’os( cavité médullaire).
B) ostéomyélite d’origine interne
C’est à partir d’une infection dans l’organisme qu’un os peut être atteint et ce par le sang.
Une septicémie (infection généralisée) peut également être alors à l’origine d’une ostéomyélite.
Ce type d’ostéomyélite est plutôt rare et ne représente que 3 à 7 % des cas d’ostéomyélite chez le chien.
C) ostéomyélite d’origine fongique (champignons)
Une infection ou une tumeur qui siège au niveau des voies respiratoires antérieures (narines) peut dans certains cas provoquer une ostéomyélite d’origine fongique
Que se passe-t-il quand l’os est infecté ?
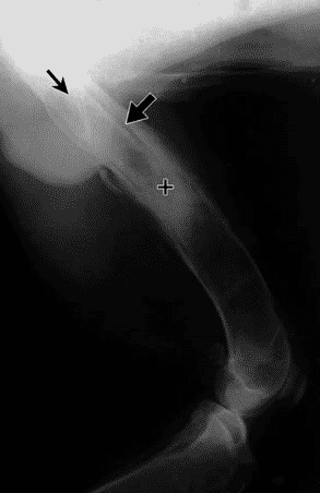
Quand le tissu osseux est infecté il va réagir en produisant du tissu osseux de manière anarchique. A la radiographie, le tissu osseux apparaît irrégulier, flou et mal défini.
En cas de fracture suivie d’une ostéomyélite, le cal osseux est de mauvaise qualité, il est INSTABLE avec des fragments osseux dévascularisés que l’on appelle des « séquestres ».
Ces séquestres sont typiques d’une ostéomyélite.

La petite flèches est un séquestre .
Ces séquestres sont véritablement des supports d’infection et vont contaminer la moelle osseuse de l’os pour aggraver encore plus l’ostéomyélite.
Symptômes de l’ostéomyélite du chien
Les symptômes de l’ostéomyélite du chien sont :
Tuméfaction fluctuante rougie et palpable en regard de l’infection.
Douleur + boiterie
Fièvre / anorexie / léthargie
Abcès récurrents /fistules/ ulcères
Présence de pus ou du sang au niveau de la fistule
Perte musculaire (fonte musculaire)
Diagnostic de l’ostéomyélite du chien
1) historique (anamnèse) / signe cliniques/ commémoratifs
2) radiographies
Les signes radiologiques de l’ostéomyélite sont :
présence de « séquestres » : rappelez-vous ce sont ces fameux fragments osseux devascularisés .
Réaction osseuse, opaque aux rayons X, qui entoure les séquestres et que l’on appelle « involucrum » .
Zone de destructions osseuses(Lyse osseuse )
réaction irrégulière du périoste caractéristique (soulèvement du périoste)
3) une cytoponction : c’est-à-dire un prélèvement à l’endroit de l’infection de l’os afin de faire une culture et un antibiogramme spécifique. Cette étape est très importante car elle permet de savoir l’antibiotique plus spécifique et qui sera plus efficace pour lutter contre le(s) germe(s) responsable(s) de l’infection.
4) hémoculture : c’est-à-dire une culture faite à partir du sang. Là aussi l’intérêt est de trouver un antibiotique efficace contre le germe responsable.
5) prise de sang :un bilan complet ( formule sanguine, profil biochimique) afin de dévaluer le degré de l’infection et ses conséquences sur l’organisme.
6) tests spécifiques pour champignons : en cas de suspicion d’ostéomyélite fongique les prélèvements seront mis en culture avec des tests spécifiques.
Diagnostics différentiels
il ne faut pas confondre l’ostéomyélite avec une tumeur de l’os ou avec une maladie ostéoproliférative (production d’os ) .
Traitement de l’ostéomyélite du chien
Le traitement de l’ostéomyélite du chien est long et coûteux.
Les clés essentielles de la réussite du traitement sont :
1) « agir vite, bien et Fort » c’est-à-dire utiliser l’antibiotique le plus efficace ,à la bonne dose et le plus rapidement . Vous voyez tout l’intérêt de l’antibiogramme !.
2) Surtout avoir un foyer stable, propre et débarrassé le plus possible de tissus morts ou nécrosés.
Pour atteindre ces objectifs on aura deux types de traitement :
Un traitement médical et un traitement chirurgical au besoin
A ) traitement médical
1) Antibiotiques : soit par injections ou par voie orale.
Le traitement peut durer plusieurs mois et il faut le prolonger trois à quatre semaines après l’arrêt des signes cliniques. Je voudrais encore bien insister sur l’intérêt de l’antibiogramme qui permet d’être plus efficace.
En première intention (sans antibiogramme) on peut donner :
°un antibiotique de la famille des céphalosporines :céphalexine (30 mg / kg ) matin et soir
THERIOS / RILEXINE/ CEFASEPTIN .
clindamycine (11 mg / kg) : ANTIROBE
enrofloxacine (15 mg / kg) : BAYTRIL
marbofloxacine : MARBOCYL
2)Si plaie, fistules : Bien irriguer la plaie avec un bon antiseptique cutané ( DERMAFLON LIQUIDE ), débridement des plaies et bien débarrasser des tissus morts pour retrouver que des tissus sains afin de favoriser la guérison. Il est illusoire de vouloir guérir une ostéomyélite en ayant encore des tissus nécrosés ou morts.
Au besoin, protéger ces plaies par un bandage qui sera changé régulièrement
B ) Traitement chirurgical
Si l’ostéomyélite est suite à une fracture avec un cal osseux malsain ou à une chirurgie orthopédique qui a mal évolué, bien souvent une chirurgie correctrice sera nécessaire .Cette chirurgie consiste à :
1. RETRAIT de l’implant orthopédique (broche – plaques et vis) nettoyage, Irrigation et enlever les tissus nécrosés.
2. STABILISATION (très important) du foyer de fracture avec au besoin une nouvelle chirurgie orthopédique avec des implants différents + greffe osseuse si destruction d’os + mise en place de « billes » d’antibiotiques au niveau de l’os.
C) AMPUTATION : si impossibilité de retrouver une stabilité ou s’il y a une trop grande destruction des tissus osseux au point qu’il n’y aura jamais possibilité de consolidation de l’os.
C’est la décision ultime mais qui est parfois nécessaire pour éviter une propagation de l’infection qui peut aboutir à une mortalité (septicémie). L’amputation est parfois aussi la seule solution pour donner au chien un confort de vie.
Bien sûr tout ce traitement chirurgical n’est possible que si l’état de l’animal le permet.
Suivi du traitement de l’ostéomyélite du chien
Vous avez compris que le suivi d’une ostéomyélite du chien est assez lourd et demande une motivation de la part du propriétaire.
La première règle à respecter est de réduire l’activité, au besoin imposer une « cageothérapie » ( en cage ) .
La seconde règle à respecter est d’aller faire des contrôles réguliers chez votre vétérinaire afin qu’il puisse évaluer le degré de guérison et faire une radiographie de contrôle.
La troisième règle à respecter est de bien suivre scrupuleusement le traitement prescrit par le vétérinaire (posologie suffisante, changement de pansements, nettoyage de la plaie ,…)
La quatrième règle est d’assurer une bonne alimentation, de qualité au chien pour augmenter les chances de guérison.
Pronostics de l’ostéomyélite du chien
Le pronostic d’une ostéomyélite du chien dépend de :
1) la localisation de l’infection
2) l’ampleur de l’infection
3) la réponse au traitement
4) du type de fracture : une fracture multiple, avec beaucoup de fragments osseux sera beaucoup plus difficile à stabiliser par rapport à une fracture simple et nette.
5) L’intervention chirurgicale : si le vétérinaire chirurgien a réussi une bonne stabilisation de la fracture et a opéré dans de bonnes conditions d’hygiène, les chances d’éviter une ostéomyélite seront plus grandes.
Si la réponse au traitement d’antibiotiques est immédiate et efficace, et si le foyer d’infection est stable et « propre » , alors les chances de guérison seront plus grandes.
Une ostéomyélite chronique est d’un pronostic réservé surtout s’il y a un pourcentage important de tissus osseux détruit par l’infection.
L’ostéomyélite du chien est une pathologie grave qui nécessite une thérapeutique précoce, agressive et surtout d’une durée suffisante.





encore un super article merci à vous
très bien expliqué ,j’ai compris et aussi le schéma de l’os , je ne savais pas qu’un chien pouvait avoir un sta doré MERCI et bon courage tu es merveilleux PATRICK
bonjour,
ma chienne salsa est un berger allemand de 11 ans, elle souffre de fistules anales et périananales.
Elle a été opérée 2007 , mais quelques temps après il y a eu récidive. Mon vétérinaire m’a proposé
l’euthanasie par égard à la qualité de vie de l’animal (la guérison n’étant pas certaine même avec traitement lourd ). Je n’ai pas pu m’y résoudre et j’ai continué le traitement des fistules
avec késium 500 et dermipred 20 et cortavanceavec plus ou moins de répit, et surtout salsa avait retrouvé une évacuation des selles a peu près satisfaisante. Aujourd’hui le traitement ne semble
plus faire effet(difficulté pour faire ses selles . il y a t’il un autre traitement pouvant la soulager ou est ce sans espoir ? Merci de votre attention et je vous prie de m’excuser si je n’ai pas utiliser la bonne
méthode pour poser les questions . Bien à vous Cordialement
Bonjour DANIEL,
c’est vrai que ce n’est pas tout à fait le sujet de cet article mais je vais quand même vous répondre . Alors le traitement des fistules anales est complexe , LONG , coûteux et parfois très décevant. Dans le traitement que vous me décrivez , il y a une molécule que vous n’avez peut être pas utilisé , c’est la ciclosporine .Molécule intéressante pour ce type de traitement , MAIS CHER !. La pommade PROTOPIC a été utilisé avec des résultats satisfaisants , pas une garantie à 100% mais encourageant .
Alors voici un protocole de traitement qui peut être proposé :
1) PROTOPIC ( pommade à base de tracrolimus) en application matin et soir pendant 4 MOIS ! . Il faut utiliser la pommade à 0,1% de tacrolimus du laboratoire Astellas .C’est une molécule( tacrolimus) avec les mêmes propriétés que la cyclosporine .
2) Continuer le dermipred ( prednisolone) : 2 mg/kg / par jour pendant 2semaines , puis 1 mg/kg/par jour pendant semaines ,et enfin 1mg/kg/ 1 jour sur deux pendant 10 SEMAINES !
3) FLAGYL ( métronidazole ) à donner pendant 15 jours
4 ) un régime alimentaire avec des croquettes hyper-digestibles et un niveau de protéines réduit mais de qualité .
Voilà un traitement qui peut donner des résultats , mais comme ce sont des produits avec prescription , vous devez en discuter avec votre vétérinaire et savoir que la pommade est coûteuse ( prés de 40 euros le tube de 30 g) . Mais à essayer si vous le pouvez .
Tenez moi au courant
Bien à vous
Patrick N.
Bonjour.
je me permet de vous laisser un message à la suite de cet article très intéressant.
je fais des recherches sur l’ostéomyélite du chien car ma chienne, Zora, Saint Bernard de 4 ans, a depuis une semaine des douleurs assez intenses au niveau des vertèbres cervicales. son vétérinaire “référent” pense à une polyarthrite rhumatoïde (car Zora est atteinte d’une maladie auto immune), elle doit donc prendre plus de Dermipred qu’habituellement en attendant que le crise passe (60 mg/par jour jusqu’à amélioration). j’ai consulté un autre vétérinaire, spécialiste en ostéo, qui a un avis différent : il pense à une ostéomyélite car Zora est en permanence sous cortisone depuis 9 mois (doses faibles, 10 mg par jour alors qu’elle pèse 77 kg). le second vétérinaire me conseille de faire passer un Scanner à Zora pour vérifier son hypothèse. je suis très réticente à lui faire passer cet examen qui implique une anesthésie (risques par rapport à un surpoids et aussi à cause d’une hépatopathie vacuolaire). je n’ai pas noté de fièvre chez Zora, ni de rougeur ou de tuméfaction au niveau de la zone douloureuse, pas non plus d’anorexie. les seuls symptômes que je relève, ce sont ces douleurs qui la font pleurer quand elle change de position, et une apathie (due à la douleur à mon avis). je dois également vous préciser que ma chienne a une inflammation au niveau des ganglions du cou qui n’a pas encore pu être explorée (une ponction était prévue sans anesthésie mais elle été repoussée car Zora a trop de douleurs au niveau du cou pour subir cet examen dans l’immédiat).
j’aimerai avoir votre avis sur le cas de ma chienne. j’ai conscience que c’est un cas compliqué, et que ce n’est pas facile de donner son avis à distance… néanmoins, si vous pouvez me donner ne serait-ce que quelques pistes, je vous en serais reconnaissante.
merci par avance.